欢迎您进入娄底市骨伤医院 服务理念:快速、高效、廉验、以人为本
10月8日上午,娄底市骨伤医院关节科病房上演了温馨的一幕,顺利完成人工膝关节置换术即将出院的黄大伯,开心地拉着科室负责人王开颜、护士长刘典合影留念。

黄大伯是娄底双峰人,今年70岁的他,由于二十多年的膝关节骨关节炎和严重骨缺损,白天寸步难行,蹲下后无法站立,夜间平卧床上,双腿无处安放,最难受的是上下楼梯时膝关节剧烈疼痛。黄大伯靠吃止痛药和贴膏药缓解疼痛,疼痛难忍时,曾住院治疗过,但疗效甚微,平时走路不到200米就疼得难受,严重影响他的生活质量,让他身心俱疲。
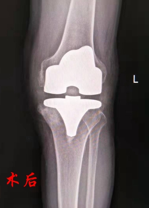
入院后,关节科负责人王开颜发现黄大伯的左膝关节严重变形,膝关节内翻屈曲挛缩畸形,无法伸直,屈曲在95度,并且内翻畸形达30度,行走困难,黄大伯被诊断为左膝关节骨性关节炎,他主动要求手术治疗解除痛苦。

术前,关节科团队为黄大伯详细做了检查。因黄大伯同时伴有心脏病、胃病、酒精肝,为保证手术顺利进行,关节科邀请综合内科、手术室、麻醉科等科室联合会诊,进行术前综合评估,并制订了详细的手术和术后恢复方案。3天后,刘卓华院长带领关节科专业团队为黄大伯实施了左侧人工膝关节置换术。该患者由于病程长、关节磨损严重,内侧平台骨缺损严重,因此手术最大的难点是要求操作精细,历经1个半小时,手术顺利完成。术后黄老伯生命体征平稳,第二天在专业康复师的指导下借助助行器行走。


“自从了解到我的病情只有通过手术才能根治,我便决定手术治疗,为了找专业的团队,确保疗效,家人将我送到了娄底市骨伤医院。这里有耐心的讲解,医生从如何手术、术后预防感染到血栓预防,每个细节都不放过;这里有贴心的护理,护士从伤口换药到饮食起居,像照顾自己家人般体贴;这里有专业的“陪护”和康复师,教我如何抬脚、如何迈步…他们用专业和责任心呵护我,治疗效果果然了不起。20多年了,我的膝盖终于不痛了,腿可以伸直了,走路不再一瘸一拐了,我又可以走出去看美丽的风景了!”谈及术前术后治疗的感受,黄大伯既苦恼又满心欢喜。
人工膝关节置换术是用人工假体取代已严重损坏而不能行使正常功能的膝关节表面,该手术适用于膝关节骨性关节炎、类风湿性关节炎、创伤性关节炎、骨缺血坏死或肿瘤等病变所致的严重疼痛和(或)功能障碍,能非常有效地缓解晚期膝关节病痛,改善膝关节功能,纠正膝关节畸形,极大地改善病人的生活质量,它是目前膝关节疾病最佳的治疗方法。
据娄底市骨伤医院关节科负责人王开颜介绍,进行人工膝关节置换手术后的患者,完全可以跟正常人一样恢复正常生活。“骨科---我们更专业”我们有能力、有信心、有实力给骨关节置换病友交出满意的答卷。